【症例】右上奥歯2本を低侵襲・短期間で回復|抜歯即時インプラントとフラップレスインプラント症例
こんにちは!
千葉県柏市、イオンモール柏向かいにあるウィズ歯科クリニックの国際口腔インプラント学会認定医の小川です!
今回は、右上奥歯2本に対して抜歯即時インプラント治療とフラップレスインプラント治療を併用し、約4ヶ月で咀嚼機能を回復した症例をご紹介します。
「できるだけ身体への負担を少なくしたい」「治療期間は短くしたい」「しっかり噛める状態を長く維持したい」
このようなご希望をお持ちの方に参考になる症例です。
◆カウンセリング・診断結果

初診時の写真
患者様は50歳代女性で、「右上5番の被せ物が外れた」という主訴で来院されました。
精密検査(レントゲン・CT)を行った結果、右上5番は残根状態で保存が困難、さらに右上6番はすでに欠損している状態であることが分かりました。
また、奥歯2本が機能していないことで、噛み合わせのバランスが崩れ、今後ほかの歯に負担がかかるリスクも高い状態でした。
治療方法として、部分入れ歯とインプラント治療をご説明しましたが、患者様は費用面と同時に「インプラント手術は痛いのではないか」という点を心配されていました。
◆行った提案・治療内容
十分な説明と相談のうえ、今回はしっかり咀嚼でき、長期的な安定が期待できる方法としてインプラント治療を選択されました。
治療計画は以下の通りです。
・右上5番:抜歯即時インプラント治療
・右上6番:フラップレスインプラント治療
右上5番は抜歯と同時にインプラントを埋入する「抜歯即時インプラント」を行うことで、治療期間の短縮と骨吸収の抑制を図りました。
右上6番は歯肉や骨の条件が良好だったため、歯肉を切開しないフラップレスインプラント法を採用しました。
術前にはCTデータを用いたシミュレーションを行い、サージカルガイドを使用して埋入位置・角度・深さを正確に設計。
その結果、手術は局所麻酔下で約30分と短時間で、低侵襲に行うことができました。

インプラント埋入前シュミレーション サージカルガイド
◆術後の経過・現在の様子

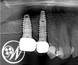
インプラント埋入・上部構造取り付け後の写真
術後は腫れや痛みも最小限で、患者様からは「想像していたよりずっと楽だった」とのお声をいただきました。
インプラントと骨の結合も順調に進み、治療開始から約4ヶ月後に最終的な被せ物を装着しました。
現在は左右バランスよく噛めるようになり、食事の不安も解消されています。
◆この治療のリスク
抜歯即時インプラントやフラップレスインプラントは、
・骨や歯肉の状態によっては適応できない場合がある
・精密な診断と経験が必要
・術後のセルフケアと定期的なメンテナンスが重要
といった点に注意が必要です。
◆まとめ
今回の症例では、右上5番に抜歯即時インプラント、右上6番にフラップレスインプラントを行うことで、低侵襲かつ短期間(約4ヶ月) で奥歯2本の咀機能を回復しました。
患者様は費用や手術への不安を乗り越え、最終的にしっかり噛めて長持ちする治療法を選ばれ、高い満足を得られました。
ウィズ歯科クリニックでは国際口腔インプラント学会専門医が在籍しており、セカンドオピニオンや無料相談も受け付けています。お気軽にご相談ください!
技術・接遇の追求
患者満足度日本一の歯科医院を目指します
『一般歯科』『小児歯科』『口腔外科』『親知らずの抜歯』『矯正歯科』『審美』『歯周病治療』『口臭治療』『入れ歯』『歯の痛み』『無痛治療』『ホワイトニング』『インプラント』『フラップレスインプラント』『セラミック治療』『保育士託児』『相談室でのカウンセリング』『口コミ、評判』『分かりやすい説明』
柏、南柏の歯医者 ウィズ歯科クリニック 柏院
オフィシャルサイト:https://www.with-dc.com/
インプラントサイト:https://www.with-dc.com/implant/
お問合せ電話番号:04-7145-0002
