【症例】噛めない・見た目が気になる方へ インプラント6本でフルアーチを回復した症例
皆さん、こんにちは。イオンモール柏の向かいにあるウィズ歯科クリニック、国際口腔インプラント学会認定医の佐藤です。
噛みにくさや見た目のお悩みが重なっている場合、お口全体のバランスを整える治療が必要になることがあります。
今回は、そのようなケースに対してインプラント治療を行った症例をご紹介します。
主訴

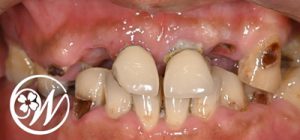
初診時
「噛めない」「見た目が悪い」というお悩みで来院されました。
検査の結果、上顎は咬み合わせが大きく崩れた“咬合崩壊”の状態で、機能面・審美面ともに回復が必要な状態でした。
そのため、フルアーチでのインプラント治療が適応と判断しました。
また下顎にも奥歯の欠損がみられ、こちらもインプラントによる補綴治療を行う方針としました。
治療計画のご説明
患者様と十分にご相談のうえ、以下の方針で治療を行いました。
・上顎:抜歯と同時にインプラント6本を埋入し、フルアーチの固定式で回復
・下顎:右下2本(ブリッジ)、左下1本(単冠)のインプラント補綴
治療の流れ
① 上顎:抜歯即時埋入+即日仮歯
上顎は抜歯と同時にインプラントを6本埋入し、当日に固定式の仮歯(スクリュー固定)まで装着しました。
これにより、「噛めない」「見た目が悪い」というお悩みに対して、早い段階から機能と見た目の改善を図っています。
※本症例では静脈内鎮静法は使用していません。
② 下顎:臼歯部欠損へのインプラント治療
下顎は臼歯部の欠損に対し、右下2本・左下1本のインプラントを埋入し、1本ずつのかぶせ物(単冠)で補綴を行う計画としました。

インプラント埋入後
③ 治癒期間(約6か月)
インプラントが骨としっかり結合するまで、約6か月の治癒期間を設けました。
この期間は仮歯を使用しながら、噛み合わせや見た目の調整に加え、清掃性(磨きやすさ)や発音なども確認していきます。
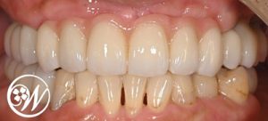
④ 最終補綴(ジルコニア)
治癒を確認後、最終的なかぶせ物を作製しました。
・最終補綴:ジルコニア
・固定方法:スクリュー固定(上顎・下顎とも)

上部構造お取り付け後
治療後の変化
・固定式の歯となり、しっかり噛める状態を回復
・口元の見た目が整い、審美面も改善
・仮歯期間で調整を行ったことで、最終補綴へスムーズに移行
治療期間と費用について
治療期間
全体:約9か月
(上顎:即日仮歯 → 治癒期間6か月 → 最終補綴)
費用(目安)
・上顎:インプラント6本フルアーチ(手術・仮歯・最終補綴含む)約330万円
・下顎:右下2本+左下1本(単冠) 約140万円
・総額:約470万円
※費用は骨の状態や処置内容により変動します。
リスク・副作用
インプラント治療は外科処置を伴うため、以下の可能性があります。
・腫れ、痛み、内出血、出血
・感染、治癒の遅れ
・下顎における知覚の違和感
・骨の状態により追加処置が必要になる場合
・インプラント周囲炎(インプラントの歯周病)
・強い噛みしめによる破損・緩み
・まれにインプラントが骨と結合しない可能性
※治療結果には個人差があります。
長く快適に使っていただくために
フルアーチのインプラント治療は、治療後のケアがとても重要です。
・メンテナンス:3〜6か月ごと
・日常ケア:歯間ブラシ・ウォーターフロス・専用ブラシなど
・噛み合わせ:必要に応じて調整
定期的な管理を行うことで、長期的に安定した状態を維持することができます。
まとめ
今回のように、「噛めない」「見た目が気になる」といったお悩みでも、適切な診査・診断と治療計画により、しっかりと機能と審美の回復を目指すことが可能です。
ウィズ歯科クリニックでは、国際口腔インプラント学会専門医が在籍しており、最新のデジタル設備を活用しながら、お一人おひとりのライフスタイルに寄り添った治療をご提案しています。
セカンドオピニオンや無料相談も随時受け付けておりますので、インプラント治療に不安がある方も、どうぞお気軽にご相談ください。
技術・接遇の追求
患者満足度日本一の歯科医院を目指します
『一般歯科』『小児歯科』『口腔外科』『親知らずの抜歯』『矯正歯科』『審美』『歯周病治療』『口臭治療』『入れ歯』『歯の痛み』『無痛治療』『ホワイトニング』『インプラント』『フラップレスインプラント』『セラミック治療』『保育士託児』『相談室でのカウンセリング』『口コミ、評判』『分かりやすい説明』
柏、南柏の歯医者 ウィズ歯科クリニック 柏院
オフィシャルサイト:https://www.with-dc.com/
インプラントサイト:https://www.with-dc.com/implant/
お問合せ電話番号:04-7145-0002
